Študije primerov

Naš cilj je nasmeh, ki naravno dopolnjuje obraz ter prinaša skladnost in pristnost.
slika zob pred in po zdravljenju

Izvrstnost v vsakem nasmehu

Naraven nasmeh

Pri izdelavi zobnih nadomestkov, kot so zobne krone in zobne proteze, je izjemno pomembno doseči naraven videz.
Barva in oblika zob morata biti usklajeni z obliko obraza in barvo kože, da se zagotovi harmoničen in estetsko privlačen nasmeh.
beljenje zob pred posegom beljenje zob po posegu
Trajanje terapije 2,5 ure

Beljenje zob

Pogosti so pacienti, ki po ortodontski terapiji opazijo spremembo barve zob in se odločijo za beljenje zob.
 
Beljenje smo izvedli po zaključku ortodontske terapije, ob predhodnem temeljitem čiščenju in poliranju zob. Opozarjamo, da v sprednjem delu zobovja ni bilo plomb.
 
Postopek beljenja je bil izveden z uporabo gela Opalescence Boost, z dvema nanosoma po 20 minut. Med tretmajem in po njem pacient ni občutil občutljivosti zob.
 
Fotografije po posegu prikazujejo stanje en mesec po beljenju, s svetlejšim in estetsko izboljšanim videzom zob.
 

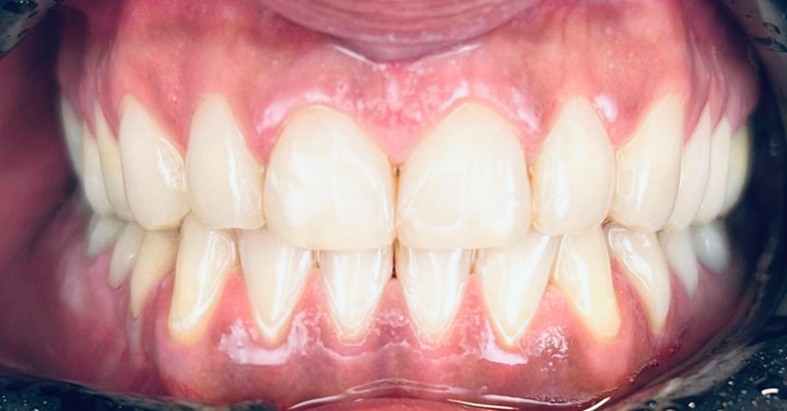
Cirkonijeve prevleke

Pacient je izrazil željo po estetskem tretmaju zgornjih sprednjih zob, ob pogoju minimalno invazivnega pristopa brez brušenja zdravih zob.
 
Zaradi izrazite obrabe in atricije zob je bila sprejeta odločitev o namestitvi štirih cirkon-keramičnih kron na sprednjih zobeh.
 
Do obrabe zob je prišlo kot posledica bruksizma (škripanja z zobmi) in drugih škodljivih navad.
 
Pred namestitvijo trajnih cirkon-keramičnih kron je bila izvedena korekcija dlesni s pomočjo začasnega mostička in laserske terapije, da bi dosegli čim bolj naraven estetski rezultat.
cirkonijeve prevleke pred posegom cirkonijeve prevleke po posegu
Trajanje terapije 2 meseca
cirkonijeve prevleke na implantatih pred posegom cirkonijeve prevleke na implantatih po posegu
Trajanje terapije 7 mesecev

Cirkonijeve prevleke na implantatih

Zaradi potrebe po odstranitvi več zob, ki so propadli pod obstoječimi mostički, je bilo treba odstraniti stare protetične nadomestke in jih nadomestiti s sodobnimi cirkonskimi kronami.
 
V stranskih regijah so bili izpuljeni zobje nadomeščeni z zobnimi implantati.
 
Z uporabo več zobnih mostičkov - delno na naravnih zobeh nosilcih, delno na implantatih - smo uspešno rehabilitirali obe čeljusti.
 
Keramične krone niso bile nameščene na zdrave zobe, barva protetičnih nadomestkov pa je bila natančno usklajena z odtenkom naravnih zob, da bi dosegli estetsko harmonijo.

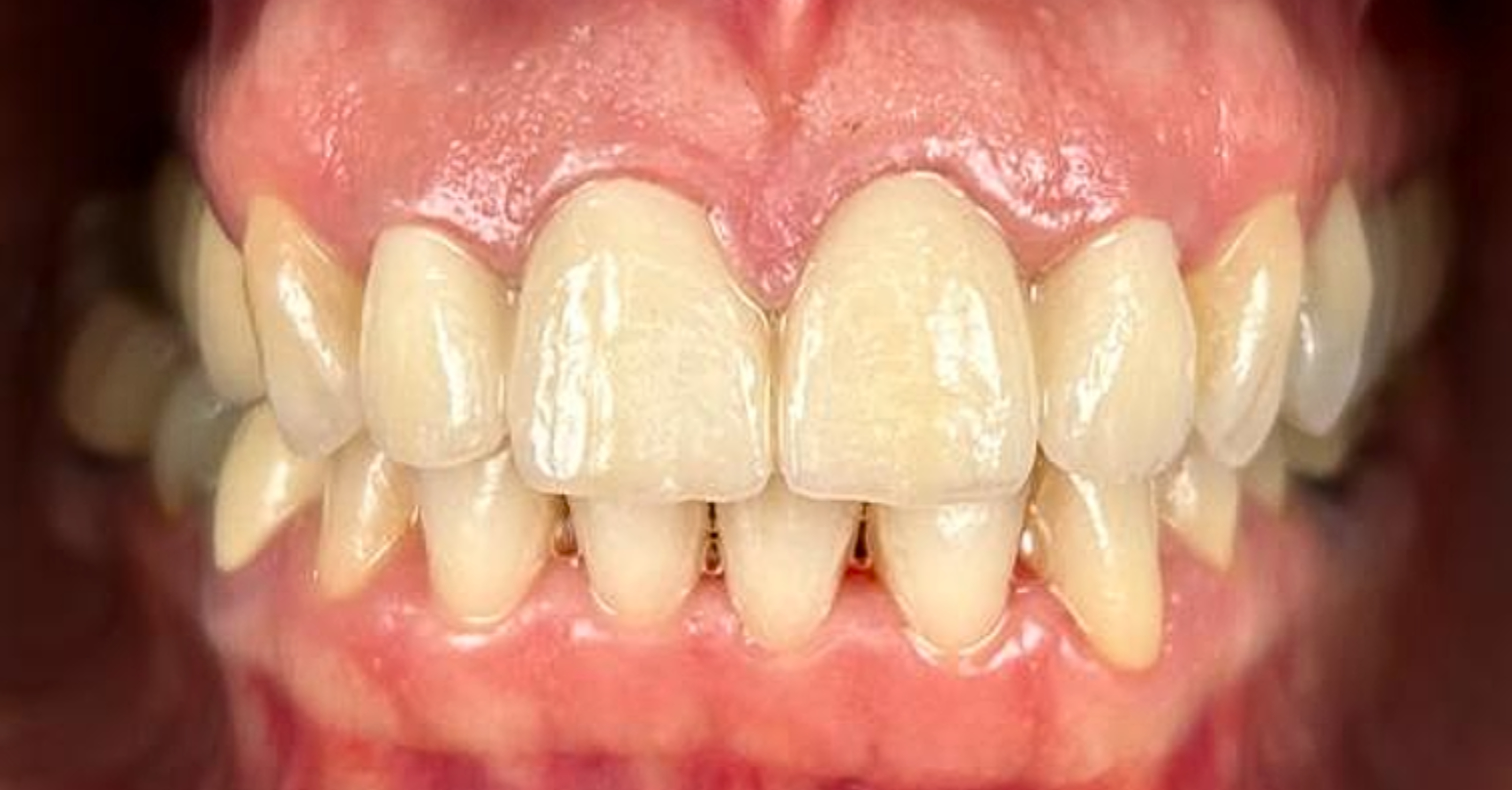
Brezkovinske keramične krone

V zgornji čeljusti so bili sprednji zobje v veliki meri poškodovani zaradi kariesa, nekatere zobe v stranski regiji pa je bilo treba izpuliti.
 
Karies je bil saniran, na mestih izpuljenih zob v stranski regiji pa so bili vstavljeni zobni implantati.
 
Na nosilne zobe v sprednji regiji so bile nameščene brezkovinske keramične krone. V stranski regiji smo zaradi večje trdnosti uporabili keramične krone na cirkonski osnovi.
 
Fotografije po posegu prikazujejo stanje protetičnega nadomestka šest let po zaključeni terapiji, z ohranjeno funkcionalnostjo in estetiko.
brezmetalne prevleke pred posegom brezmetalne prevleke po posegu
Trajanje terapije 8 mesecev
Čiščenje zobnega kamna – pred Čiščenje zobnega kamna – po
Trajanje terapije 45 min

Čiščenje zobnega kamna

Zaradi pozitivne družinske anamneze parodontitisa se v preventivne namene redno izvaja profesionalno čiščenje zobnega kamna.

Z ultrazvočnim odstranjevalcem se kontrolirano odstranjujejo obloge nad in pod nivojem dlesni, z namenom zmanjšanja tveganja za razvoj vnetnih sprememb.

Posebna pozornost je namenjena subgingivalnim oblogam, ki lahko pri osebah z genetsko nagnjenostjo že zgodaj privedejo do gingivitisa in parodontalne bolezni. Po odstranitvi zobnega kamna se zobne površine spolirajo, vključno z robovi obstoječih zalivk, da se zmanjša zadrževanje zobnih oblog (plaka).

Postopek se izvaja nežno in brez poškodbe zobne sklenine, ob ohranjanju zdravja dlesni in dolgoročnem ohranjanju parodontalnega zdravja.

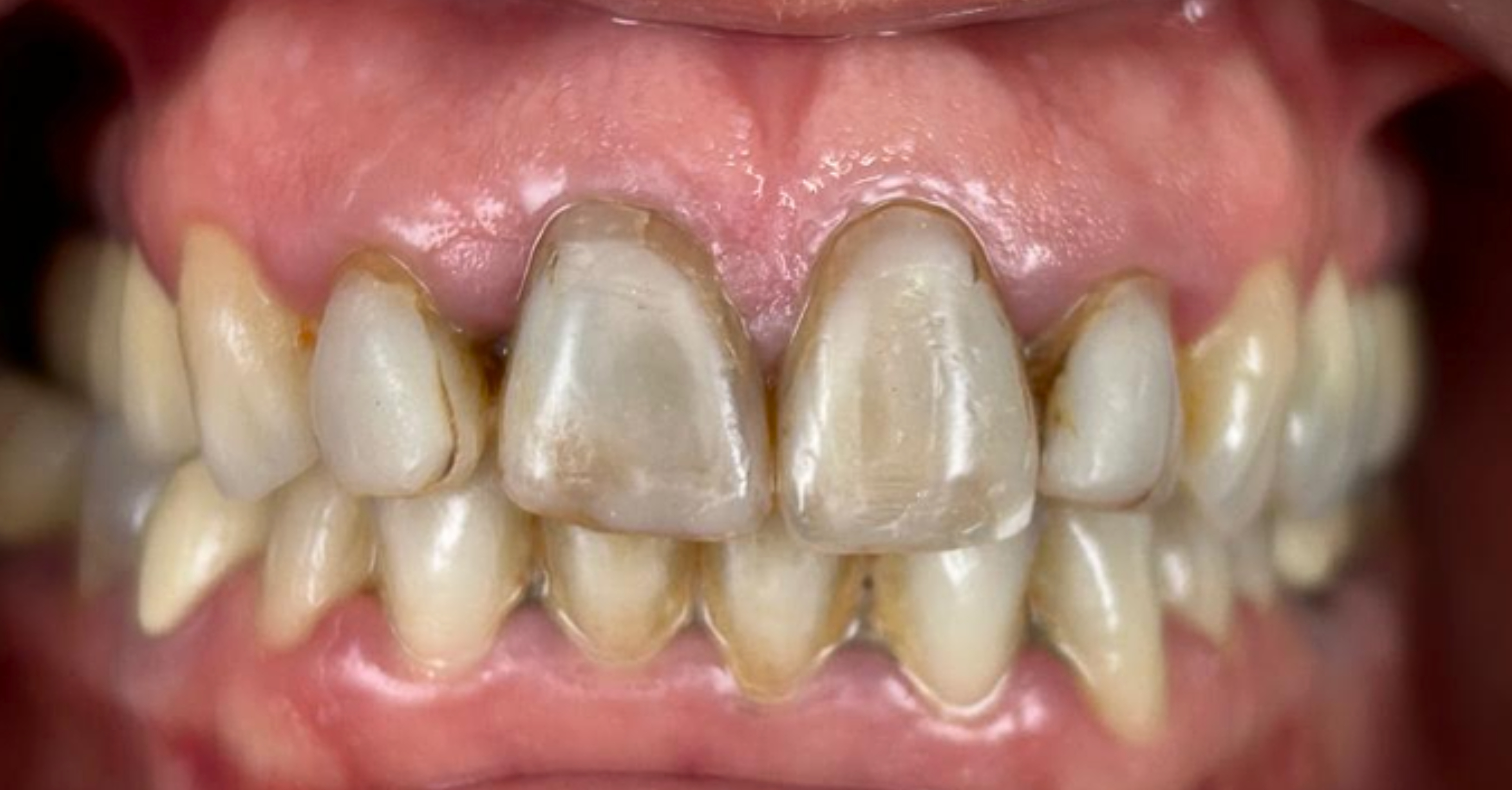
Rekonstrukcija zob z neposrednimi kompozitnimi luskami

Pacient je imel izrazito poškodbo sklenine, ki je bila posledica dolgotrajnega uživanja gaziranih pijač in slabše ustne higiene. To je povzročilo demineralizacijo in izgubo površinskega sloja sklenine, poslabšano estetiko ter povečano občutljivost zob.

Po kliničnem pregledu in oceni ohranjenosti zobnih struktur je bila terapija izvedena z neposrednimi kompozitnimi luskami. Takšen pristop omogoča sanacijo brez obsežnega brušenja zdrave zobne substance ter natančen nadzor vsakega koraka terapije.

Kompozitni material je bil nanesen slojevito, z individualnim oblikovanjem morfologije zob in prilagoditvijo barve glede na obstoječe stanje. S tem je bila dosežena funkcionalna in estetska stabilizacija ob ohranitvi preostale sklenine. Terapija je bila načrtovana in izvedena v skladu s kliničnimi ugotovitvami, stanjem trdih zobnih tkiv ter oceno dolgoročne stabilnosti rezultata.
Kompozitne luske – pred Kompozitne luske – po
Trajanje terapije 2 dni
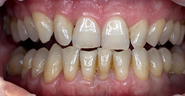
Cirkonske zobne krone prej Hrvaška Cirkonske zobne krone potem Hrvaška
Trajanje terapije 7 mesecev

Estetska rehabilitacija s cirkonskimi kronami

Pacientka se je oglasila zaradi estetskih in funkcionalnih težav v frontalnem področju, ob prisotnih vnetnih spremembah dlesni in več kariesnih lezijah.

Terapija se je začela s sanacijo dlesni z namenom odprave vnetja in vzpostavitve zdravih parodontalnih razmer, kar predstavlja osnovo za vsak dolgoročno stabilen protetični poseg. Po stabilizaciji mehkih tkiv smo pristopili k sanaciji kariesa s kompozitnimi zalivkami, pri čemer smo ohranili maksimalno količino zdrave zobne strukture.

Glede na estetske zahteve in potrebo po trajni rešitvi v frontalnem področju je bila indicirana izdelava štirih cirkon-keramičnih kron. Posebna pozornost je bila namenjena obliki, barvi in proporcijam, da bi dosegli naraven in funkcionalno uravnotežen rezultat.

Z zaključeno terapijo smo dosegli stabilno funkcijo, izboljšano estetiko in - kar je ključno - zdrave dlesni kot pogoj za dolgoročni uspeh terapije.

Izvrstnost v vsakem nasmehu

Obrnite se na nas z zaupanjem

Dokument(png, jpg, jpeg, pdf, doc, docx)
/Stomatologija/najbolje-stomatoloske-ordinacije-rijeka.JPG?preset=cs-img